孩子发笑也是病?要当心这种瘤!
审核专家:尹铁伦 北京大学第三医院机场院区神经内科副主任医师
近日,有报道称一名7岁女孩无故发笑一年,去医院最终查出患有下丘脑错构瘤这种疾病。
来源丨新闻截图
无独有偶,一名12岁的女孩2017年入院,同时被诊断为患有下丘脑错构瘤,症状主要以发笑为主,发作时还伴有小便失禁的情况。在2021年,也有一名不到3岁的幼童因为下丘脑错构瘤入院接受手术治疗。
错构瘤是什么?
错构瘤是指机体某一个器官内正常组织在发育过程中出现错误组合排列而导致的类瘤样畸形。
根据有关资料显示,多数学者认为错构瘤是器官内正常组织的错误组合与排列,这种改变随人体的发育而缓慢并限制性生长,错构瘤发病率小,并且常发现于婴儿或儿童时期。
来源丨新闻图片/北京地坛医院
也就是说,错构瘤是由异常生长的成熟组织构成的,主要是在胚胎时期,正常的组织错误地排列在一起,形成了肿瘤样肿物,这是一种良性的肿瘤性疾病,主要病理成分为纤维组织、软骨、上皮细胞、肌肉及血管等,可以发生在我们身体的任何部位。
错构瘤的几种类型
错构瘤发生的器官部位不尽相同导致的症状也明显不同,常发生在肺肾、胆管、乳腺、下丘脑等部位。
如果发生在肺,表现为肺错构瘤,病人可能出现咳嗽、咳痰、咯血、胸痛等症状;发生在肾,则是肾错构瘤,可能出现腰痛、腰酸、血尿症状;发生在胆管则是胆管错构瘤,可能堵塞胆道,引起梗阻性黄疸等。
错构瘤还常发生在乳腺,形成乳腺的错构瘤,病人会出现乳腺内包块,边界清楚、表面光滑、质地比较硬等特征;发生在下丘脑区域就形成下丘脑错构瘤。
肝脏错构瘤是一种少见的肝脏良性肿瘤,临床缺乏特异表现,影像学认识不足导致术前误诊率高。尽管是良性肿瘤,但有恶变为未分化型胚胎性肉瘤或血管肉瘤的可能。此病多无特征性的临床表现,主要因腹部进行性增大或触及腹部肿块就诊。
肝间叶性错构瘤
来源丨曹其伟,张亚洲,孙青.肝脏间叶性错构瘤临床病理特征分析[J].诊断病理学杂志. 2022,29(06).
下丘脑错构瘤是一种先天性的、非进展性(非进展性:不会随着时间而严重的,病情稳定的)瘤样肿块,是发生在在下丘脑下部或灰结节区的异位神经组织,主要症状是性早熟、癫痫等。
目前,对下丘脑错构瘤患病机制尚没有达成统一意见,有关研究表明它可能是由于中线位置神经管关闭并不齐全而引发的疾病,常于妊娠第一个月末发生。
下丘脑错构瘤主要分为2种:带蒂的下丘脑旁病变和无蒂的下丘脑内病变。带蒂型主要与垂体轴功能障碍,特别是中枢性性早熟有关。相反,无蒂型下丘脑内病变与神经症状相关,包括癫痫、认知障碍和精神障碍。
错构瘤的诊断与治疗
由于错构瘤的发展过程、临床和组织学表现与恶性肿瘤有相似之处,所以有时在医学判断上难免出现判断不准确的问题。
一般情况下,错构瘤并不是恶性的肿瘤,但具体还得需要根据症状定期的复查,如果有症状出现,或者有逐渐增大的趋势,还需要考虑进行手术的治疗。但是如果没有明显的变化,可以定期随访继续观察,不用特别的手术治疗。
恶性肿瘤发病原因多种多样,受到内部因素与外部因素的影响,并且没有特定的发病人群,一经发现很难完全痊愈。错构瘤的生长是非常缓慢的,随着机体的发育生长而增大,但增大到一定的程度会停止生长,很少出现恶变。
但是由于一些错构瘤临床症状不典型,常误诊为肺恶性肿瘤及肺结核瘤等,因此仍需积极手术治疗。
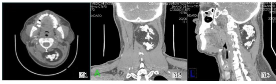
成人颈项部间叶性错构瘤CT增强图像
来源丨向武昌,杨小蓉. 成人颈项部间叶性错构瘤一例[J]现代医用影像学. 2021,30(04).
虽然错构瘤发病率小,并且常见发现于婴儿或儿童时期。但也有特例发生在成人时期。
所以不论处在人生的哪一个阶段,都要注意观察自己的身体是否出现了异常的变化,出现了异常变化或身体感觉明显不适就要及时就医,以免出现更严重的后果。
